Accessibility Tools

Перейти к содержимому
Комфортная
и доступная
стоматология

Анна Анатольевна Кушнарева

хирург - имплантолог

Выполняет широкий спектр хирургических процедур от удаления  сложных зубов мудрости до сложных костных пластик и синус-лифтинга, пластики десны в области зубов и имплантов 

Владеет всеми аспектами имплантации : от выбора подходящей системы имплантатов до планирования и проведения операций с учетом индивидуальных особенностей каждого пациента, отсроченная и одномоментная с удалением зуба имплантация  

Всегда в курсе последних достижений в области стоматологии, хирургии и имплантологии, посещает конференции, семинары и мастер-классы, чтобы совершенствовать свои навыки и предлагать пациентам самые современные и эффективные методы лечения.

Обладает твердой рукой, отличной координацией и вниманием к деталям, что позволяет выполнять операции с минимальной травматичностью и максимальной точностью. Уверенно использует передовые технологии, такие как компьютерное планирование имплантации и навигационную хирургию, для повышения точности и предсказуемости результатов лечения. Уделяет особое внимание предоперационной диагностике и планированию, чтобы минимизировать риски и обеспечить оптимальный результат. Всегда придерживается самых высоких стандартов безопасности и качества в своей работе.

Высшее образование
  • 2004 - 2007 гг. - Среднее специальное образование. Пермский базовый медицинский колледж, специальность: "Фельдшер-лаборант". Диплом с отличием.

  • 2013- 2018 гг. - Высшее образование. Российский университет дружбы народов. Специальность : "Врач-стоматолог". Диплом с отличием. (Номер диплома 107705 0000513 , дата окончания 19.06.2018)

  • 2018 - 2020 гг. - Ординатура. ФГБУ ДПО "ЦГМА" управления делами президента РФ. Специальность : "Хирургическая стоматология"

  • 2021г. - Свидетельство об аккредитации по специальности "Стоматология хирургическая" ЦГМА Управления Делами Президента РФ №332400048540

Доп. профессиональное образование
  • 2014 г. -прошла обучение на практическом курсе Ребриева Е.Ю. "Эволюция инструментальной обработки, ирригации и обтурации корневых каналов".

  • 2015 г. - участница семинара Поволоцкого В.С. "Комплексная методика работы частной стоматологической клиники".

  • 2016 г. - участница семинара Зоряна А.В. "Современные протоколы эндодонтического лечения. Ошибки и осложнения: профилактика и исправление".

  • 2017 г. -прошла обучение на практическом курсе Шатарова Д.М, Седова Ю.Г. "Имплантология от остеоинтеграции до маркетинга".

  • 2017 г. - прошла обучение на практическом курсе Приямпольской М.Б. "Основы периохирургии. Удлинение клинической коронки зуба".

  • 2018 г. -прошла обучение на практическом курсе Шатарова Д.М, Седова Ю.Г. "Регенерация костной ткани"

  • 2019 г. - прошла обучение по курсу Приямпольской М.Б. "Пародонтология в ежедневной клинической практике "

  • 2019 г.- приняла участие в семинаре А. Фролова "Ткань. Протоколы смешанного приема".

  • 2019 г. - приняла участие в лекционно-практическом курсе Шатарова Д.М. " Пластика мягких тканей ".

  • 2019 г. - приняла участие в демонстрационном курсе Вали М.А. и Хурцилава С.Г. "Ортопедическое планирование как основа хирургического лечения ".

  • 2019 г. - приняла участие в курсе Хурцилава С.Г. " Опыт имплантации "

  • 2019 г. - приняла участие в теоретическом и практическом курсе Кузнецовой О.С. "Дентальная фотография"

  • 2019 г. - приняла участие в IV межвузовской научно-практической конференции с международным участием "Актуальные вопросы стоматологии " в рамках научно-образовательного проекта "Кремлёвские чтения"

  • 2020 г.- приняла участие в демонстрационном курсе Вали М.А. и Хурцилава С.Г. по тотальной комплексной эстетической реабилитации с использованием имплантатов "Ортопедическое планирование как основа хирургического лечения ".

  • 2020г. - прослушала вебинар Хурцилавы С.Г. "Базовые особенности и протокол работы с различными видами имплантатов системы Nobel Biocare"

  • 2020г. - прослушала вебинар Сосновских К. и Горбачева К. "Одномоментная имплантация и немедленная нагрузка "

  • 2020г. - освоила курс вебинаров Бернацкого Б.С. в количестве 4-х часов "Передовые методики одномоментной дентальной имплантации . Сравнительный анализ протоколов GBR (НКР) и B2S"

  • 2020г. - приняла участие в курсе "Двухчелюстная установка имплантатов в концепции All-on-4 с немедленной нагрузкой " Хурцилава С.Г., Вали М.А.

  • 2021 г. - приняла участие в демонстрационном курсе "Комплексная реабилитация пациентов с антирезорбтивной терапией" Хурцилава С.Г., Финкельштейн А., Вали М.А.

  • 2021г. - приняла участие в демонстрационном курсе "Тотальная реабилитация на четырех наклоненных имплантатах" Хурцилава С.Г., Вали М.А.

  • 2023 г - приняла участие в практическом курсе «Рецессии/all about» Рустэм Сафиуллин

  • 2023 г - приняла участие в конгрессе «Осложнение. Удаление имплантата. Что дальше?» А.Л. Давидян

  • 2023г - прошла обучение на практическом курсе «Направленная костная регенерация» Ренат Ризванов

  • 2023 г - приняла участие в теоретическо-демонстрационном курсе на тему «концепции All-on-4» Тарас Юров, Александр Бикбаев

  • 2023 г - мастер-класс Баграта Смбатяна «имплантация PRO - современные аспекты дентальной имплантации»

  • 2023г- Базовый курс по хирургическим шаблонам. Basic navigation in dental implantation. Седов ЮГ, Белов ВВ

  • 2024 г - авторский курс Иноземцевой К.С. по теме «Пародонтальная пластическая хирургия. Рецессия десны»

  • 2024 г - теоретический курс Сабы Хурцилавы «Ортопедически ориентированная имплантация»

  • 2025 г - авторский курс Иноземцевой К.С. по теме «Мукогингивальная пародонтология. Закрытие рецессии десны»

  • 2025 г - курс Маткаримова Мирзы «Увеличение объема тканей при дентальной имплантации: коррекция вестибулярного контура кости и коррекция объема мягких тканей»

отзывы пациентов
Анна
источник: Яндекс Карты
Очень хорошая профессиональная клиника. Выбирала по отзывам - не пожалела. Отдельное спасибо врачам, которые не навязывают услуги и выполняют свою работу качественно! Обстановка безумно приятная, не напряженная Долечила кариес, удалила восьмерку, теперь планирую лечение у ортодонта Всем довольна.
Владимир
источник: Яндекс Карты
Прекрасная клиника. Очень приятный, квалифицированный и вежливый персонал. Современнейшее оборудование и вполне приемлемые цены.
Вероника
источник: Яндекс Карты
Хочу выразить благодарность главному врачу Центра современной стоматологии AppleStom Балаян Артаку Ваагновичу за высокий профессионализм в работе и создании комфортной среды нахождения в центре, а также врачу стоматологу-ортодонту Стрелковой Юлии Витальевне и врачу стоматологу-хирургу Кушнарёвой Анне Анатольевне. Всё манипуляции выполняются на высшем уровне, с использованием новейшего оборудования и технологий. Отдельно хочется отметить внимательность и проявление чуткости врачей к пациентам, что немаловажно в лечении зубов. Администраторам Александру и Милене отделения благодарность! Рекомендую центр на 100% всём кто хочет получить квалифицированное лечение и иметь красивую улыбку!
Татьяна
источник: Яндекс Карты
Добрый день! Хотела поблагодарить за доброту и отзывчивость весь персонал стоматологической клиники! Доброжелательные, внимательные! Особенно хотела поблагодарить доктора Макарова Павла Викторовича, Кузину Надежду Сергеевну, Кушнарёву Анну Анатольевну! Спасибо большое! Успехов Вам!
    после
    до

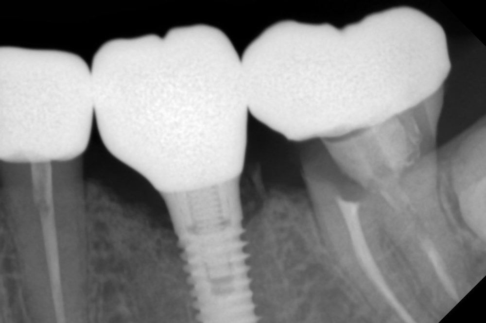
    Имплантация жевательных зубов,
    это самая востребованная операция.

    Анна Анатольевна Кушнарева
    хирург - имплантолог

    после
    до
    после
    до


    рентген имплантатоы
    фото коронок
    Хотите задать вопрос доктору?

    Если Вы хотели узнать что-то про Вашу ситуацию, пожалуйста, опишите ее, я постараюсь ответить.

    Анна Анатольевна Кушнарева

    хирург - имплантолог

    Напишите нам!
    Ответим на все вопросы
    и запишем на консультацию.