Accessibility Tools

Перейти к содержимому
Комфортная
и доступная
стоматология

Кристина Алексеевна Александрова

врач-гигиенист

Кристина Алексеевна - архитектор здоровой улыбки, страж профилактики и проводник в мир осознанного отношения к своему здоровью. Каждый пациент уникален. Она разрабатывает персонализированные планы гигиенического ухода, учитывая особенности строения зубов, состояние десен, возраст и даже образ жизни. Она замечает то, что может ускользнуть от взгляда других специалистов. Раннее выявление проблем – залог успешного лечения и сохранения зубов. Ее цель – не просто красивая улыбка, а здоровая улыбка на всю жизнь. Она верит, что профилактика – это ключ к здоровью полости рта, и она готова поделиться своими знаниями и опытом с каждым, кто хочет сохранить свою улыбку красивой и здоровой. Обратившись к ней, вы получите не только профессиональную чистку зубов, но и ценные знания, которые помогут вам заботиться о своем здоровье каждый день.

Профессиональные навыки:
-  Консультации по вопросам ухода за зубами и деснами: подбор индивидуальных средств гигиены, обучение домашней гигиене, подбор дополнительных средств гигиены пациентам
- Фотопротокол в полном объеме
- Чтение КЛКТ, ОПТГ
- Индикация зубных отложений
- Работа под увеличением
- Проведение профессиональной гигиены полости рта: снятие зубных отложений над и поддесневых УЗ аппаратом (Woodpacker),  снятие пигментированного налета аппаратами Air Flow Prophylaxis Master пациентам с ортопедическими и ортодонтическими конструкциями
- Оценка гигиенического состояния полости рта с определением пародонтологических индексов
- Проведение профессиональной гигиены пациентам с отягощенным пародонтологическим статусом (GBT протокол)
- Реминерализующая терапия: лечение и профилактика  гиперэстезии, профилактика кариеса
- Отбеливание зубов системами: Amazing White, Philips Zoom-4
- Работа со смежными специалистами (терапевт, ортопед, ортодонт, хирург)
- Проведение контролируемой чистки зубов с коррекцией навыков домашней гигиены

Высшее образование
  • Московский государственный медико-стоматологический университет, Москва 2022г
    Стоматология профилактическая, Гигиенист стоматологический
    Сертификат/аккредитация: 2022.4180253 30.04.2025г. Стоматология профилактическая

Доп. профессиональное образование
  • Постоянный слушатель журнального клуба и участник группы “Periosimple” Марины Вишняковой

  • 2022г. Участие в практическом интенсиве по алгоритмам профессиональной гигиены полости рта, Нефедова Элиза Дмитриевна

  • 2022г. Практический интенсив по коммуникации с пациентом на стоматологическом приеме, Нефедов Элиза Дмитриевна

  • 2023г. курс “ Работа ручными пародонтологическими инструментами Hu Friedy под микроскопом” Захарова А.И, Иноземцева К.С

  • 2023г. Индивидуальный тренинг стоматологической профилактики iTOP, Захарова А.И

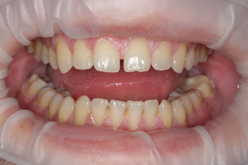
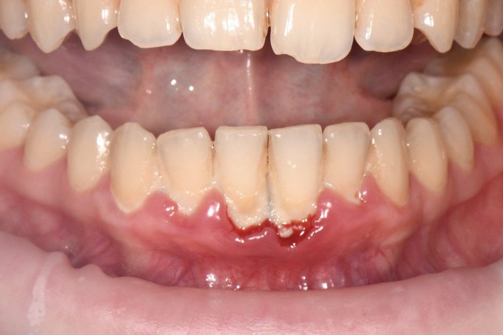
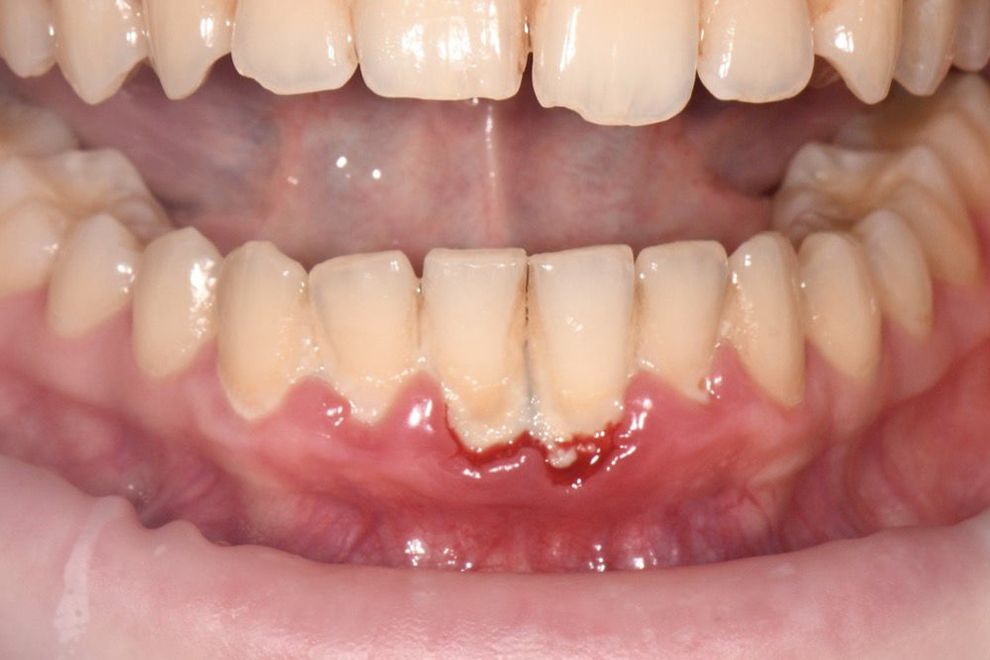
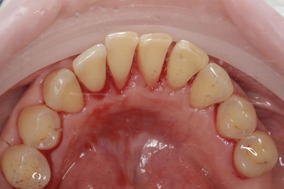
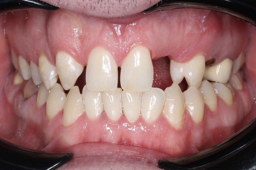
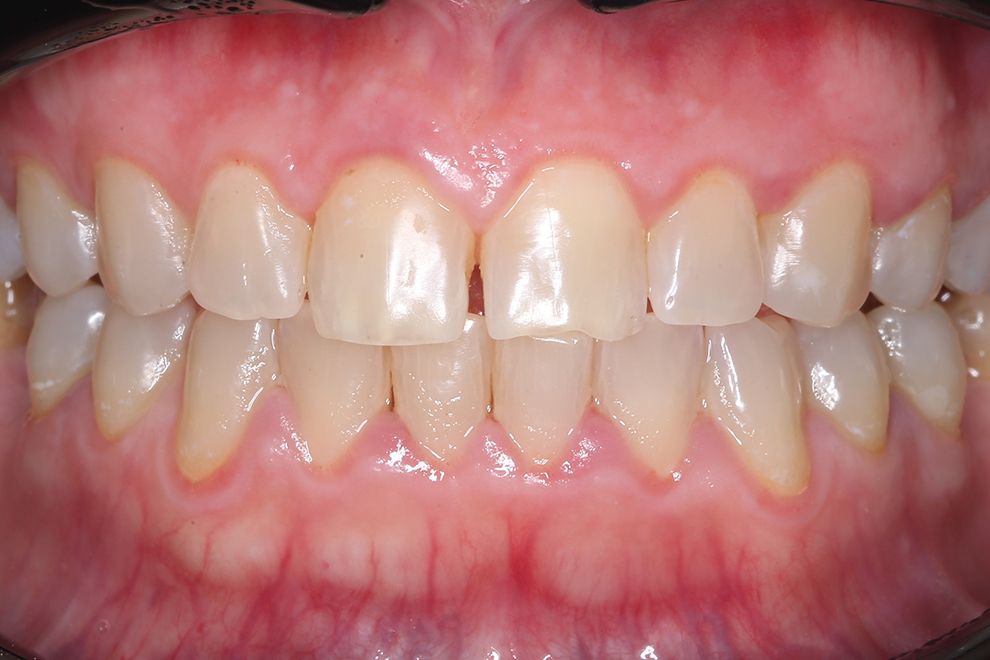
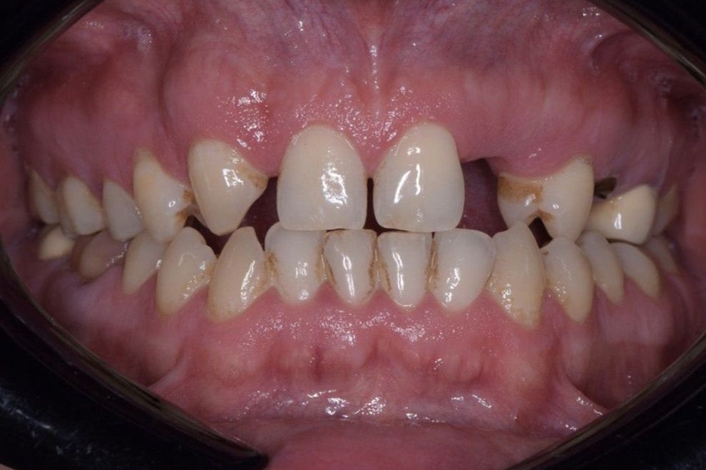
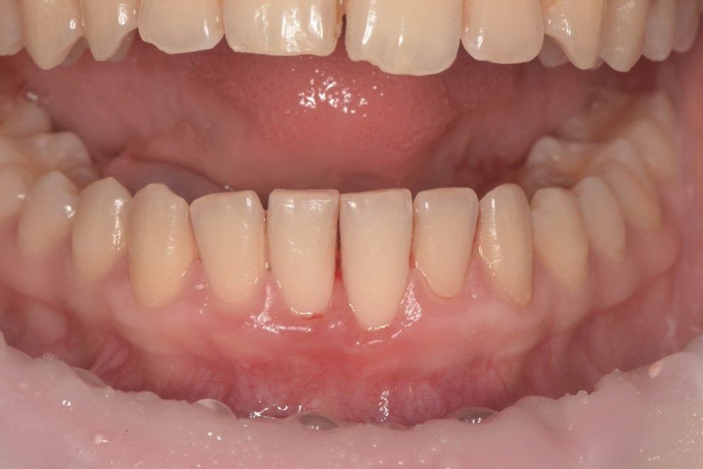
примеры "до и после"
Мария
источник: Яндекс Карты
Наблюдаюсь в клинике Apple Stom второй год, выражаю большую благодарность гигиенисту Александровой К. А. и терапевту Коробейникову Д. В., грамотные специалисты, всегда без спешки и добросовестно трудятся во благо здоровых улыбок.
Анна
источник: Яндекс Карты
Отличная клиника, современная, персонал вежливый. Ходила на гигиену рта (чистку), врач Александрова К.А. отличный специалист своего дела! За столько лет обращения в другие стоматологии, первый раз мне настолько подробно все рассказали, показали, объяснили! Осталась очень довольна сервисом и качеством выполненной работы! А самое главное очень добродушное отношение к пациентам! Рекомендую данную стоматологию!
Антон
источник: Яндекс Карты
Врач Кристина Алексеевна провела фантастическую чистку моих зубов. Раньше я очень боялась этой процедуры, но всё прошло быстро и безболезненно. На всё про всё ушло около получаса, а ощущения были скорее приятными, чем наоборот. Теперь мне хочется посещать стоматолога гораздо чаще! Хочу отметить, что клиника AppleStom уже много лет успешно функционирует на рынке стоматологических услуг. За это время она значительно расширила свои площади, увеличила штат специалистов, обновила оборудование и сделала качественный ремонт. Здесь есть всё необходимое для комфортного пребывания пациентов, включая микроскоп. Я настоятельно рекомендую эту клинику всем, кто ценит качество, профессионализм и безопасность
Юлия
источник: Яндекс Карты
Очень хорошая стоматология! Ходим сюда всей семьей. Отлично сделала проф. гигиену и полную консультацию по состоянию зубов Александрова Кристина Алексеевна.
Карина
источник: Яндекс Карты
Хочу выразить благодарность Кристине Алексеевне Очень внимательный доктор. Я стараюсь проф гигиену делать каждые пол года, была в разных клиниках, мне есть с чем сравнить . Настолько аккуратно работает , всегда спрашивала все ли хорошо, не больно . Все сделала отлично . Ощущения идеальной чистоты во рту . А еще очень милая и добрая. Спасибо Кристина Алексеевна теперь я только к вам!
    Хотите задать вопрос доктору?

    Если Вы хотели узнать что-то про Вашу ситуацию, пожалуйста, опишите ее, я постараюсь ответить.

    Кристина Алексеевна Александрова
    врач-гигиенист
    Напишите нам!
    Ответим на все вопросы
    и запишем на консультацию.